咨询电话:4000-980-586

康安途海外就医 添加微信

常见疾病库

当前位置: 康安途海外医疗 > 医疗新闻 > 肿瘤资讯 >
  • 患者如何提高利妥昔单抗/美罗华治疗滤泡性淋巴瘤患者的有效性

    患者如何提高利妥昔单抗/美罗华治疗滤泡性淋巴瘤患者的有效性

      万珂是治疗多发性骨髓瘤和套细胞淋巴瘤的药物,对于复发的滤泡性淋巴瘤患者,在 利妥昔单抗 (美罗华)的基础上加用万珂可使PFS从11月提升到12.8月。基于该数据,以苯达莫司汀、硼替佐米及利妥昔单抗(BBR)三药的联合用于复发难治的惰性NHL和套细胞淋巴 ...

  • 对于肝功能较差胃癌患者我们最佳的阿帕替尼用药剂量是多少?

    对于肝功能较差胃癌患者我们最佳的阿帕替尼用药剂量是多少?

      现在很多人因为生活水平上去了,因此对自己的饮食不加以控制,再加上一些不健康的生活习惯,导致了越来越多的消化道疾病开始出现,甚至是肠胃癌,面对肠胃癌很多人很容易将其认为是普通的胃疼,因此错过了最佳的治疗时机。那么对于已经进入到了胃癌晚期 ...

  • 癌症明星疗法PD-1抗体治疗无效或耐药的情况有哪些?

    癌症明星疗法PD-1抗体治疗无效或耐药的情况有哪些?

      尽管我们期待PD-1/PD-L1单抗是神药,但事实是:即使是经过筛选的患者,接受PD-1/PD-L1单抗治疗也并非全部都得到缓解。那些出乎意料肿瘤消退和长期生存获益首先会是肿瘤得到缓解的患者,而那些没有获得缓解的患者又是什么情况?简单来说, PD-1抗体 /PD-L ...

  • 对于老年晚期胃癌患者来说该用化疗还是阿帕替尼(Apatinib)

    对于老年晚期胃癌患者来说该用化疗还是阿帕替尼(Apatinib)

      胃癌是现代人常常出现的癌症种类,而且每年的胃癌患者增加速度也非常惊人。其中胃癌多发病于中老年患者群体。虽然我们往往对于胃癌晚期的患者治疗手段是化疗治疗,但是很多中老年人由于身体素质的下降已经无力再承受进一步化疗摧残,那么这个时候对于老 ...

  • 胃癌标准疗法失败后我们能用阿帕替尼/艾坦治疗吗?

    胃癌标准疗法失败后我们能用阿帕替尼/艾坦治疗吗?

      随着我们社会的发展,我们的生活越来越丰富,很多人因此染上了不良的生活饮食习惯,导致了胃癌的出现。而且往往由于现代人对自己的胃健康不是很关注,导致了越来越多的胃癌患者病情进入到了中晚期,这个时候治疗难度将会大大增加, 阿帕替尼 /艾坦是一款 ...

  • 为什么肿瘤突变程度越高PD-1抗体的有效率就越高

    为什么肿瘤突变程度越高PD-1抗体的有效率就越高

      肿瘤细胞突变程度越高,PD-1/PD-L1单抗有效率越高,但这该如何解释?简而言之就是, PD-1 和PD-L1是一对受体和配体,结合时会产生抑制身体免疫细胞杀伤肿瘤的信号,肿瘤细胞通过利用PD-1/PD-L1这种免疫检查点实现免疫逃逸。对这种信号的发射器和接收器二 ...

  • 依鲁替尼(IBRUTINIB)可使MZL患者的中位无进展生存期达到14.2个月

    依鲁替尼(IBRUTINIB)可使MZL患者的中位无进展生存期达到14.2个月

       依鲁替尼 (IBRUTINIB)除对恶性 B 细胞的生存和凋亡具有直接作用外,越来越多的证据还显示,该药物能够调节肿瘤的微环境,从而克服免疫逃避机制。这激起了人们将该药物应用于恶性淋巴肿瘤以外疾病的兴趣。目前该药已被 FDA 和 EMA 批准用于 CLL 的任何 ...

  • 五大免疫检查点抑制剂其中两款PD-1抗体药物已经在中国上市

    五大免疫检查点抑制剂其中两款PD-1抗体药物已经在中国上市

      自从2014年第一款PD-1单抗被美国FDA批准后,目前已经有五款PD-1/PD-L1单抗先后上市,其中两款 PD-1抗体 欧狄沃(纳武利尤单抗)和可瑞达(帕博利珠单抗)于今年在中国获批上市。   PD-1/PD-L1作为近年来的明星抗肿瘤药,无论是患者、医务人员,还是医 ...

  • 哪些患者不能使用靶向药物依鲁替尼/依鲁替尼

    哪些患者不能使用靶向药物依鲁替尼/依鲁替尼

       伊布替尼 (依鲁替尼)虽然有些患者并不适合用,但是有绝对禁忌的非常少见。只要是这个病人没有非常厉害的心脏疾病,比如说心衰,心肌梗塞,六个月之内的心肌梗塞,没有控制过的房颤,就可以用伊布替尼(依鲁替尼),这是一个绝对禁忌症。第二个,病人 ...

  • 每日一次孟加拉依鲁替尼(EMLUTINI)就可改善患者的生活质量

    每日一次孟加拉依鲁替尼(EMLUTINI)就可改善患者的生活质量

      目前治疗淋巴瘤的靶向药物有很多种,其中依鲁替尼( EMLUTINI )是最新上市的一种新药,也是目前单药治疗淋巴瘤效果最好的药物。依鲁替尼这外还有其它几种淋巴瘤靶向药。依鲁替尼服用方便,每日一次的口服剂型可帮助改善患者的生活质量。目前该新型靶向 ...

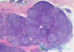
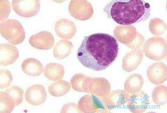
  • 什么是淋巴瘤?常见的淋巴瘤症状有哪些?

    什么是淋巴瘤?常见的淋巴瘤症状有哪些?

       淋巴瘤 ,是起源于淋巴造血系统的恶性肿瘤。发病率约为15/10万,近年来有增长的趋势。淋巴瘤种类繁多,症状也是多种多样。除淋巴结外,淋巴瘤还发生在胃肠道和皮肤等各种器官中,症状因部位而异。一般来说,最常见的症状是淋巴结肿大。通常在淋巴结聚集 ...

  • 靶向药物依鲁替尼(IBRUTINIB)治疗罕见淋巴瘤效果显著

    靶向药物依鲁替尼(IBRUTINIB)治疗罕见淋巴瘤效果显著

      美国FDA已批准 依鲁替尼 (IBRUTINIB)作为第一个治疗华氏巨球蛋白血症的药物,华氏巨球蛋白血症是一少见的惰性B细胞淋巴瘤。70年前该病首次报告以来尚无批准的治疗,医生依靠模仿类似肿瘤的治疗方案治疗华氏巨球蛋白血症。这是依鲁替尼新增适应证,此前 ...

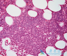
  • 华氏巨球蛋白血症迎来ibrutinib联合rituximab疗法

    华氏巨球蛋白血症迎来ibrutinib联合rituximab疗法

       华氏巨球蛋白血症 (WM)的常见症状有乏力、虚弱、体重减轻、发作性出血及高粘滞综合症,最常出现在较为年长的成年患者的骨髓中,对淋巴结与脾脏也可能产生影响,罹患此种罕见病的患者,急需一款新的疗法来降低病情的风险。华氏巨球蛋白血症(WM)是一 ...

  • 依鲁替尼/伊布替尼可替代化疗治疗慢性淋巴细胞白血病

    依鲁替尼/伊布替尼可替代化疗治疗慢性淋巴细胞白血病

      伊布替尼( 依鲁替尼 )是一种每日口服一次的肿瘤治疗方法,可以抑制被称之为Bruton酪氨酸激酶(BTK)的蛋白质,所以也被称之为BTK抑制剂。BTK细胞是B细胞受体信号传导复合物中的关键信号分子,在恶性B细胞的存活以及扩散中起到了关键作用。而在慢性淋巴细 ...

  • 克唑替尼(CRIZOTINIB)耐药后患者可以选择二代和三代的ALK抑制剂

    克唑替尼(CRIZOTINIB)耐药后患者可以选择二代和三代的ALK抑制剂

       克唑替尼 (CRIZOTINIB)是ALK和c-MET基因或其变异体的双重阻断剂。两项多中心单臂临床试验显示,对于ALK阳性的NSCLC患者,克唑替尼具有显着的治疗活性。一项是PROFILE1001研究第2部分扩展队列研究,共纳入119例患者,克唑替尼组的客观缓解率(ORR)为6 ...

  • 克唑替尼/赛可瑞是晚期非小细胞肺癌的第几代靶向药物

    克唑替尼/赛可瑞是晚期非小细胞肺癌的第几代靶向药物

      对于肺癌患者来说,虽然发病率和死亡率都比较高,但是可选择的靶向药品也是相对于其他癌症比较多的。且肺癌靶向药还被分为第一代、第二代和第三代。那么肺癌药品克唑替尼( 赛可瑞 )是第几代靶向药呢?小编通过查找了相关资料得知,克唑替尼(赛可瑞)同阿 ...

  • 研究表明非甾体抗炎药可能会改善肾癌患者的生存期

    研究表明非甾体抗炎药可能会改善肾癌患者的生存期

      一项累计使用分析表明, 非甾体抗炎药 (NSAIDs)、血管紧张素转化酶抑制剂(ACEIs)和选择性血清素再摄取抑制剂(SSRIs)改善了肾癌患者的疾病特异性结果,并进一步表明,非甾体抗炎药能提高总体生存期。   根据在《国际癌症杂志》上发表的一项研究, ...

  • 格列卫耐药后可根据基因突变类型选择不同的治疗药物

    格列卫耐药后可根据基因突变类型选择不同的治疗药物

      如果 格列卫耐药 ,怎么办?格列卫也是有局限性,除了水肿、乏力、胃肠道反应、肝功能异常等副作用之外,限制其应用的就是耐药。大约20%-30%的慢性期患者长期使用格列卫会治疗失败,这其中极少部分患者是对药物不敏感,而多数患者长时间药物治疗压力筛选 ...

  • 三阴乳腺癌的治疗方法有哪些?哪些药物可以治疗三因乳腺癌?

    三阴乳腺癌的治疗方法有哪些?哪些药物可以治疗三因乳腺癌?

      若雌激素受体,孕激素受体和HER2的表达在有些肿瘤细胞中均未能显著检测到,这一类型称之为三阴性。这类乳腺癌患者以化疗为主。 三阴乳腺癌 约占乳腺癌的15%,这一类型具有恶性程度最高,发病较早的特点。由于缺乏明确的靶点,而且异质性较高,目前靶向药 ...

  • 不是所有的乳腺癌患者都适合使用靶向药物治疗

    不是所有的乳腺癌患者都适合使用靶向药物治疗

      乳腺癌的内科治疗包括化疗、内分泌治疗和 靶向治疗 。近年来,靶向治疗成为乳腺癌临床研究热点,靶向治疗通常比化疗更安全,不容易伤害正常健康的细胞,并且显著提高了乳腺癌的治疗效果。临床上根据受体表达的状态,主要将乳腺癌分为三种类型:激素受体 ...

添加康安途医学博士免费咨询

已有 127822 名患者成功添加
专业医学博士,7*24小时响应服务需求,用药参考,前沿治疗,报告解读等解决您在治疗过程中遇到的所有问题。

频道栏目

最新文章

本周热门文章
咨询电话

微信咨询

微信

扫描二维码
免费咨询医学博士

乐伐替尼