咨询电话:4000-980-586

康安途海外就医 添加微信

常见疾病库

当前位置: 康安途海外医疗 > 医疗新闻 > 肿瘤资讯 >
  • 印度阿比特龙对前列腺癌的抑制作用多久后会失效?

    印度阿比特龙对前列腺癌的抑制作用多久后会失效?

      随着现代男性的生活和工作压力增大,越来越多的前列腺癌患者开始出现,并且成为男性高发的癌症肿瘤之一,我们目前治疗前列腺癌的主要方式是内分泌激素疗法,但是往往抑制效果不明显,很容易出现治疗失败。在内分泌疗法治疗失败后我们还有其他治疗方案吗 ...

  • 格列卫二代达希纳有望让慢粒白血病患者达到无治疗缓解

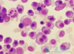
    格列卫二代达希纳有望让慢粒白血病患者达到无治疗缓解

      慢性髓性 白血病 ,俗称“慢粒”占成人白血病的15%,全球年发病率为1.6-2/10万。慢粒早期多数没有明显体征或者症状;但如果不及时治疗,通常在几年内就可能进展至终末急性期而导致死亡。慢粒白血病的特异靶点就是Bcr-Abl融合蛋白。持续一线TKI治疗的慢粒 ...

  • 服用格列卫二代/达希纳时一定要注意的服药细节有哪些?

    服用格列卫二代/达希纳时一定要注意的服药细节有哪些?

      格列卫二代/达希纳是格列卫的升级版,其可以用于治疗格列卫耐药,或者是格列卫治疗失败的患者,其治疗效果非常好,目前据康安途了解到很多人都是服用的达希纳来进行的白血病治疗,但是作为一款口服用药服药后疗效是否显现主要还是要看患者的服药方式是否 ...

  • 中华慈善总会也有格列卫二代/达希纳的援助项目吗?

    中华慈善总会也有格列卫二代/达希纳的援助项目吗?

      格列卫/伊马替尼是一款主要用于治疗慢性粒白血病的抗癌靶向药物,正如前段时间上映的电影《我不是药神》中所讲的一样,其治疗效果非常显著,但同时也价格昂贵。为了缓解癌症病人的经济压力,中华慈善总会已经有了相关的格列卫援助项目。那么作为使用 格 ...

  • 有吞咽困难的患者该如何服用达希纳(Tasigna)

    有吞咽困难的患者该如何服用达希纳(Tasigna)

      了解过 达希纳 (Tasigna)的白血病患者应该都知道,达希纳对大多数晚期慢粒患者都是有效的。达希纳的服用方法是每日2次伴水整片吞服,间隔约12小时,饭前至少1小时之前或饭后至少2小时之后服用。那对于有吞咽困难的患者该如何服用呢?根据FDA说明书原话 ...

  • 格列卫二代/达希纳是格列卫的升级进化版吗?

    格列卫二代/达希纳是格列卫的升级进化版吗?

      相信很多人都看了前段时间上映的《我不是药神》,这部电影里面的白血病药物格列宁相信让很多人都记忆深刻,其实格列宁在我们现实生活中的名字叫做格列卫,治疗白血病的效果非常好,一度被称为神药,但是康安途告诉大家,格列卫也有升级改良版了!格列卫 ...

  • 达希纳/尼洛替尼副作用严重时白血病患者该如何调整剂量

    达希纳/尼洛替尼副作用严重时白血病患者该如何调整剂量

       达希纳 (尼洛替尼)是我国首个上市的慢性髓系白血病(CML)一线二代络氨酸激酶抑制剂(TKI),相比一代药物伊马替尼,达希纳已被证实能够帮助更多的患者更早实现更深层次的疾病缓解。由于达希纳也具有一定的毒性,患者在服用期间会出现一定的副作用, ...

  • 软组织肉瘤“神药”帕唑帕尼用药时应该有哪些注意事项?

    软组织肉瘤“神药”帕唑帕尼用药时应该有哪些注意事项?

       软组织肉瘤 是一种不常见的癌症肿瘤形式,我们相应的治疗手段也比较有限,但是并不意味着我们无药可治,在很早之前美国FDA就已经批准了帕唑帕尼用于治疗软组织肉瘤,而且据临床试验结果显示效果也非常好,但是这是一款口服用药,我们在用药时也有许多需 ...

  • 印度帕唑帕尼服用后出现了肝功能的下降情况严重吗?

    印度帕唑帕尼服用后出现了肝功能的下降情况严重吗?

      据康安途海外就医了解到 帕唑帕尼 是一款主要用于治疗晚期肾癌和晚期软组织肉瘤的抗癌靶向药物。其早在2009年10月份左右就被美国FDA批准治疗肾癌,更是被授予了孤儿药的称号。但是就算是这样一款治疗神药,其治疗的副作用也有很多,那么我们出现了什么样 ...

  • 来那度胺(lenalidomide)与地塞米松联用会细菌感染吗

    来那度胺(lenalidomide)与地塞米松联用会细菌感染吗

       lenalidomide (来那度胺)+地塞米松治疗期间会出现哪些感染?持续RD(来那度胺+地塞米松)治疗的患者有29%出现3级以上感染。细菌感染的风险显着高于正常人群。尤其是初始患者、疾病活动、既往有感染病史和老年虚弱患者感染的风险明显增高。建议针对高危患 ...

  • 用乐伐替尼(Lenvatinib)半个月还没见到疗效该更换治疗方案吗?

    用乐伐替尼(Lenvatinib)半个月还没见到疗效该更换治疗方案吗?

      众所周知肝癌是一种早期难以发现的癌症疾病,很多人当出现了肝脏疼痛时再去做检查多半已经是肝癌晚期,很多人在肝癌晚期的治疗中都是服用的多吉美进行治疗。可以抗癌靶向药物出现了耐药性是早晚的事,很多人当多吉美治疗失败后就失去了活下去的信心。在 ...

  • 乐伐替尼联合派姆单抗治疗不可切除肝细胞癌疗效出众

    乐伐替尼联合派姆单抗治疗不可切除肝细胞癌疗效出众

      2018年ASCO重磅报道了 乐伐替尼 联合Pembrolizumab(派姆单抗)治疗不可切除肝癌的临床试验数据。在开放标签,多中心,Ib期研究中,纳入了uHCC BCLC分期B或C期,Child-Pugh A,ECOG PS 0-1分,至少拥有一个可测量病灶的受试者30例。主要研究终点为安全性, ...

  • 为什么泰瑞莎(AZD9291)不能与PD-1药物联合使用

    为什么泰瑞莎(AZD9291)不能与PD-1药物联合使用

       泰瑞莎 (AZD9291)在国内获批有一段时间了,这个肺癌靶向药一直以来备受患者的关注,不论是一线还是三线,均能使患者获得好的收益。而PD-1药物也是近两年比较火的抗癌药物,在肺癌治疗上有显着的疗效,那泰瑞莎和PD-1药物能否强强联手呢?它的效果是增 ...

  • 乐伐替尼治疗多种癌症的临床效果

    乐伐替尼治疗多种癌症的临床效果

       乐伐替尼 (E7080)是最近刚刚批准的新药,也是一款多靶点抑制剂,目前乐伐替尼(E7080)批准用于晚期肝癌,复发难治结甲状腺癌,联合依维莫司用于晚期肾癌,且治疗效果都很不错。   针对肝癌乐伐替尼(E7080)在和索拉非尼(多吉美)的头对头研究中,全 ...

  • 简述西妥昔单抗的适应症及抗肿瘤机制

    简述西妥昔单抗的适应症及抗肿瘤机制

      EGFR单克隆抗体—西妥昔单抗( cetuximab )作用于表皮生长因子受体(EFGR)的单克隆抗体西妥昔单抗是目前研究最为广泛的靶向药物之一,其疗效在多种肿瘤治疗中得到肯定。目前在全球范围内爱必妥获批的适应症有:转移性头颈部癌,非转移性头颈部癌,转移 ...

  • BEACON仿制的奥希替尼(Tagrix)新旧款包装上有什么不同

    BEACON仿制的奥希替尼(Tagrix)新旧款包装上有什么不同

      碧康制药生产的 奥希替尼 在国内肺癌患者中的知名度很高,被患者称为“黑盒9291”,最近收到了碧康制药的通知,为进一步保障患者利益,防止假冒,碧康制药Tagrix产品从2910032批号开始,正式启用新包装:在Tagrix新包装盒侧面植入防伪二维码,通过智能手 ...

  • 转移性结直肠癌患者能否在一线使用西妥昔单抗治疗后二线继续使用

    转移性结直肠癌患者能否在一线使用西妥昔单抗治疗后二线继续使用

      有研究表明抗血管生成靶向药在初次疾病进展后还有一定疗效,那么KRAS野生型mCRC能否在一线使用 西妥昔单抗 治疗后二线继续使用?意大利的CAPRI-GOIM临床研究帮我们解决了这个问题。该研究用于KRAS外显子2野生型mCRC在一线含西妥昔单抗方案治疗后,评估二 ...

  • 西妥昔单抗在转移性结直肠癌治疗中的地位转变

    西妥昔单抗在转移性结直肠癌治疗中的地位转变

      如今 西妥昔单抗 已从晚期转移性结直肠癌患者三线治疗药物跃升成为一线治疗药物。随着研究的深入,西妥昔单抗在ACRC患者的治疗中发挥者越来越重要的作用。三线治疗。证实西妥昔单抗三线治疗mCRC的临床研究有NCICCO.17,BOND等。NCICCO.17研究的主要目的 ...

  • Osicent是孟加拉Incepta公司仿制的瓶装奥希替尼

    Osicent是孟加拉Incepta公司仿制的瓶装奥希替尼

      续孟加拉BEACON公司的Tagrix首款仿制奥希替尼上市后,孟加拉另一家大型药企Incepta公司也紧跟市场,迅速推出了世界上第一个瓶装奥希替尼仿制药 Osicent ,并把奥希替尼价格再次拉下一个平台!奥希替尼(Osicent)使用更方便,疗效有保证,价格亲民。   ...

  • 有丙肝乙肝的肝癌患者用多吉美治疗效果会受影响吗?

    有丙肝乙肝的肝癌患者用多吉美治疗效果会受影响吗?

      众所周知丙肝和乙肝如果治疗不及时的话是很有可能会恶化成为肝癌的,据统计研究数据表明,绝大多数肝癌患者具有肝炎病毒感染背景,现在或者是曾经患过肝炎,有很多肝癌患者和家属就有所担心,害怕肝炎病毒感染背景是否影响肝癌患者的预后,那么是否真是 ...

添加康安途医学博士免费咨询

已有 127822 名患者成功添加
专业医学博士,7*24小时响应服务需求,用药参考,前沿治疗,报告解读等解决您在治疗过程中遇到的所有问题。

频道栏目

最新文章

本周热门文章
咨询电话

微信咨询

微信

扫描二维码
免费咨询医学博士

乐伐替尼