咨询电话:4000-980-586

康安途海外就医 添加微信

常见疾病库

当前位置: 康安途海外医疗 > 肿瘤新闻 > 弥漫性大B细胞淋巴瘤的定义和发病原因

弥漫性大B细胞淋巴瘤的定义和发病原因

时间:2018-02-02 16:59 来源:康安途 作者:海外医疗康安途
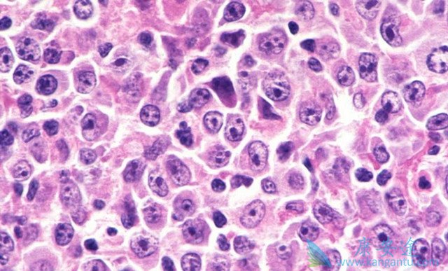
  弥漫性大B细胞淋巴瘤是目前最常见的成人非霍奇金恶性淋巴瘤,占西方国家成人非霍奇金恶性淋巴瘤的30~40%,在发展中国家,所占的比例更高,达60%。在儿童淋巴瘤中,DLBCL所占的比例在10%以下。DLBCL发病年龄范围很广,平均发病年龄70岁,但亦可见于儿童;男性患者多于女性。WHO对弥漫性大B细胞淋巴瘤的定义是大的肿瘤性B淋巴细胞呈弥漫性生长,肿瘤细胞的核与正常组织细胞的核相近或大于组织细胞的核,细胞大小不小于正常淋巴细胞的两倍。
  
  弥漫性大B细胞淋巴瘤发病原因目前尚不清楚。通常是原发性的,但也可由低度恶性淋巴瘤(如滤泡性淋巴瘤、慢性淋巴细胞性白血病/小淋巴细胞淋巴瘤,边缘区B细胞淋巴瘤、霍奇金淋巴瘤之结节型淋巴细胞为主型)进展或转化而来,有一些病例发生于一组自身免疫性疾病或免疫缺陷的基础之上典型的DLBCL,弥漫性增生的肿瘤细胞增生取材受累的淋巴结或结外部位的正常结构。淋巴结的受累可为完全性、部分性、滤泡内、窦样或几种形式混合。结外软组织及血管浸润常见,可观察到广泛或清晰的硬化带。
 
  
  肿瘤细胞为大的转化淋巴细胞,体积在不同的病例或同一病例中可有很大不同,核大于反应性组织细胞的核。但在一些病例中,核中等大小,造成与Burkitt(伯基特)样淋巴瘤鉴别困难。核呈圆形、锯齿状或不规则折叠,染色质空泡状或粗颗粒状,常有核仁,大小不等、嗜碱或嗜酸性、一个或多个。胞浆中等量或丰富,可透明、淡染或嗜双色。一些病例中的瘤细胞呈浆细胞样:嗜碱性、嗜派洛宁,伴有淡染的核周高尔基空晕。可有嗜碱性胞浆碎片,与炎症反应中的“浆细胞小体”不易区分。可见类似于R-S细胞的多叶核细胞或奇异细胞。核分裂像易见。从细胞学的角度,肿瘤细胞形态多样,可进一步进行形态学分类,但各亚型之间免疫表型以及基因学特征无明显差异。因此诊断时既可使用统一的弥漫性大B细胞淋巴瘤亦可采用形态学分类命名。
 
  详情请访问  CAR-T  https://cart.kangantu.com/

添加康安顾问,想问就问

【康安顾问】

7*24小时响应服务需求,服药指导,膳食指导,报告解读,“一对一”定制服务,让您省时省力省心!每个康安顾问背后都有一个庞大的医生团队。

(责任编辑:康安途海外医疗)

评论

  • 相关推荐
  • 其他推荐

频道栏目

添加康安途医学博士免费咨询

已有 127822 名患者成功添加
专业医学博士,7*24小时响应服务需求,用药参考,前沿治疗,报告解读等解决您在治疗过程中遇到的所有问题。

肿瘤新闻文章

本周热门文章
咨询电话

微信咨询

微信

扫描二维码
免费咨询医学博士

乐伐替尼