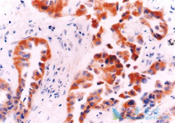
近日,Annals of Thoracic Surgery 上报道了一例肺癌腺癌患者,在经过吉非替尼治疗后转变为肺癌鳞癌的病例。吉非替尼是一代EGFR-TKI,对于具有EGFR突变的肺癌腺癌十分有效。那该患者出现这种转变是怎么回事呢?免疫组化分析根据肿瘤细胞对于 TTF-1 以及 napsinA 阳性,以及 p40 or CK5/6 阴性,证实为原发肺腺癌。

基因突变的检测发现 EGFR 存在 19 外显子基因缺失突变。该患者因而开始接受吉非替尼的治疗,随后表现出对药物的敏感性,肿物迅速缩小。4 个月之后,该患者进行了右肺下叶切除术及纵隔淋巴结清扫术。发现一个 2cm 的残余肿瘤,伴有鳞癌细胞。与之前没有改变,也没有新获得的突变。抗 EGFR 的抗体可以检测到,鳞癌细胞也分泌 EGFR 蛋白。6 个月之后,胸部 CT 提示右肺上叶临近前次的切口处有一处复发病灶。采用胸腔镜的办法进行了肺段切除术,而最终的病理仍然只看到了鳞状细胞癌。
这项研究认为,可能有两种机制导致肺癌腺癌转变为肺癌鳞癌。首先,肺癌可能包含有丰富潜能的肿瘤干细胞,可以在接受 TKI 治疗之后发生不同方向的转变。其次,肺癌可能本身就是一种混合的成分,而在 TKI 治疗之后,只有鳞状细胞癌更大比例地存活下来。无论如何,这种组织类型的转变提示,肺癌患者在进行 TKI 治疗之后的复核有的时候是非常重要的,可以避免患者接受过多无意义的治疗,及时转变治疗方案。
详情请访问 肿瘤 https://www.kangantu.com/














请简单描述您的疾病情况,我们会有专业的医学博士免费为您解答问题(24小时内进行电话回访)