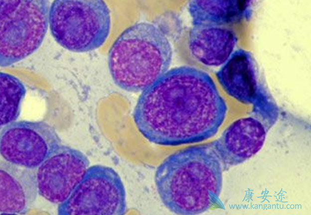
多发骨髓瘤也就是多发性骨髓瘤(MM)为一类不可治愈性慢性疾病,但可通过治疗达到控制疾病的目标。恶性浆细胞的肿瘤,它有一部分长在骨髓里,有一部分长在骨髓外,给病人抽骨髓时会发现,骨髓里有好多恶性浆细胞,同时这个病人,他在身体的很多地方会长肿块,是一个一个浆细胞的瘤体,有时能看到这个瘤体,有时在骨髓里看不到但是抽骨髓能看到,所以多发骨髓瘤也是一种恶性的浆细胞瘤。

多发性骨髓瘤迄今为止仍然不可治愈,大部分患者经历缓解-复发-缓解-难治过程。初始治疗患者达到完全缓解后是否需维持治疗、从而尽可能延后疾病复发并延长患者生存?来那度胺由于其药物特性(口服制剂、靶向性药物、初始单药治疗效果确切),一直是维持治疗用药的首选。多种临床荟萃分析显示其可以使患者生存获益。
来那度胺目前已经进入国家大病保险目录,但应用有限制条件:仅限于硼替佐米治疗后效果不佳、且不能与硼替佐米联合用药。大部分患者耐受性良好,最常见的副作用是骨髓抑制导致的血细胞减少,在高龄患者中栓塞和周围神经病变也需要注意。同时,长期用药可能影响造血干细胞的采集,因此,针对年轻的、有移植意愿的患者来那度胺的用药疗程最好不要超过4疗程。
详情请访问 肿瘤 https://www.kangantu.com/














请简单描述您的疾病情况,我们会有专业的医学博士免费为您解答问题(24小时内进行电话回访)